Breaking news and analysis on politics, business, world national news, entertainment and more.
Download Homer Wright Rosettes Ewing Sarcoma Pictures
08/07/2017 00:00
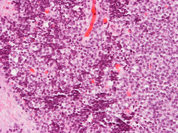
Download Homer Wright Rosettes Ewing Sarcoma Pictures. In histopathology, a palisade is a single layer of relatively long cells, arranged loosely perpendicular to a surface and parallel to each other. Neuroblastoma, homer wright rosettes are circular groupings of dark tumor cells surrounding pale neurofibrils (small blue cell tumors from neural crest ectoderm).
Round Cell Lesions Radiology Key from radiologykey.com
Последние твиты от homer wright rosette (@h_wright_rosset). Neuroblastoma, homer wright rosettes are circular groupings of dark tumor cells surrounding pale neurofibrils (small blue cell tumors from neural crest ectoderm). Ewing's sarcoma & pnet form a spectrum with es being less differentiated.
(redirected from homer wright rosette).
Ewing's sarcoma is a very rare type of cancerous tumor that grows in your bones or the soft tissue around your bones, such as cartilage or the nerves. A lobular arrangement of cells. A doctor💊💉, love uk, interventional cardiologist at manchester general hospital. Do not confuse with perivascular pseudorosettes/rosettes found in ependymomas.